来源: 科技日报微信公众号发布时间: 2020-04-10 09:46:36
新冠病毒是否感染宠物?哪种宠物更易感?4月9日,科技日报记者从中国农科院哈尔滨兽医研究所获悉,中国科学院院士、该所首席科学家陈化兰,以及该所所长、国家动物疫病防控高级别生物安全实验室主任步志高团队研究发现,猫对新冠病毒高度易感,犬、猪、鸡和鸭对新冠病毒不易感。

论文截图。哈兽研供图
同时,雪貂可用作新冠病毒疫苗和药物评价动物模型。此项研究具有重要指导意义。
更重要的是该研究呼吁密切监测和保护疫区的猫,避免其接触传染源,防止其成为可能的传播宿主或储存宿主。这项研究得到了科技部国家重点研发计划及应急专项的支持。相关结果4月8日在《科学》杂志上在线发表。
依托国家动物防控高级别实验室(P4实验室)和兽医生物技术国家重点实验室,中国农业科学院哈尔滨兽医研究所步志高研究员团队和陈化兰院士团队系统研究了与人密切接触的犬、猫、猪、鸡、鸭等常见宠物、家畜禽及模式实验动物雪貂对新冠病毒的易感性。通过实验感染新冠病毒,观测接种动物及同居动物的临床表现及病理变化,检测器官组织病毒载量、呼吸道和肠道病毒排放及动物体内针对新冠病毒抗体转阳情况。

结果发现,新冠病毒在犬、猪、鸡和鸭复制能力很弱,但能在雪貂上呼吸道和猫的呼吸系统及消化系统高效复制。
实验感染猫能够通过空气传播新冠病毒至猫;部分猫感染后可导致严重发病甚至死亡,低龄猫发病明显较大龄猫严重。
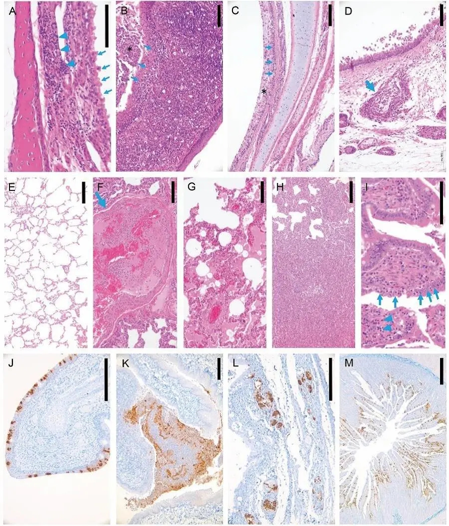
组织病理学观察证实,病毒感染猫可引起不同程度的肺脏炎症与肠道粘膜损伤;免疫组化研究发现上呼吸道(鼻腔、上颚、扁桃体)粘膜上皮及嗅球细胞、气管及支气管粘膜黏液腺上皮细胞、小肠粘膜上皮等部位存在大量病毒感染。

图一说明:新冠病毒在感染猫呼吸系统及消化系统高效复制,引起病理损伤和炎症反应。哈兽研供图
哺乳动物及禽类中一直有不同的冠状病毒流行,但这些冠状病毒大多仅限于感染特定种属动物,一般不能感染人类。同样,人间常见的几种冠状病毒也不感染其他动物。但是,来自蝙蝠的某些冠状病毒,如SARS和中东呼吸综合征(MERS)病毒,往往可感染多种动物和人类。
新冠病毒目前在全球大范围人群中流行,传入与人类密切接触动物的风险与日俱增。因此,迫切需要开展与人密切接触家养动物对新冠病毒的易感性研究,评估家养动物是否面临新冠病毒危害并成为潜在中间宿主的风险。
鉴于目前新冠病毒肺炎全球流行情况,其演变为常在传染病可能性很大,急需建立稳定、可靠动物感染模型,满足疫苗和药物研发评价需求。哈兽研团队这项研究为防控新冠病毒提供了科学依据。
此前自然网站曾跟进此论文,报道中美国俄亥俄州立大学的病毒学家Linda Saif指出,宠物猫的主人无需惊慌,目前没有直接证据证明,受感染的猫会把冠状病毒传染给人。
研究结果意味着什么?
Nature在新闻报道中采访了多位科学家,他们对这一研究给出了评论。
香港城市大学Dirk Pfeiffer说,在防控中应该考虑猫的因素,但猫并不是病毒传播的主要因素。
此前,SARS病毒的相关研究也表明,猫可以被感染并传播给其他的猫,但在SARS疫情期间,没有迹象表明SARS病毒会在家猫中广泛传播、传染给人类。
俄亥俄州立大学的病毒学家Linda Saif更是指出,宠物猫的主人无需惊慌,目前没有直接证据证明,受感染的猫会把冠状病毒传染给人。
Saif说,需要进行更多测试,包括对猫进行不同剂量的病毒测试,观察新冠病毒是否会在猫之间高度传播。
不过,美国疾病预防控制中心还是给出了建议,称患有新冠肺炎的患者,应该限制与宠物的接触。
嗯,这项研究里里外外,就是这样。
需要再次强调的是,目前研究至此,也没有得出结论,证明受新冠感染的猫可以把病毒传染给人。(记者 李丽云)